小児歯科・小児矯正
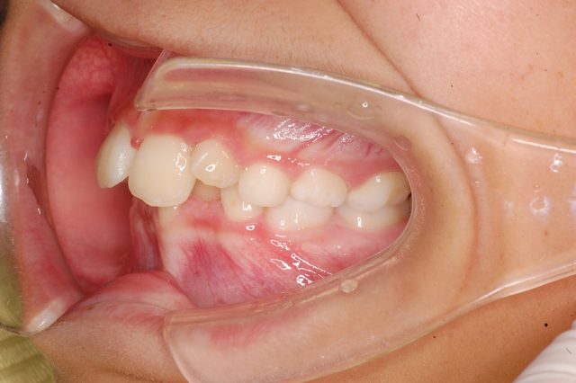
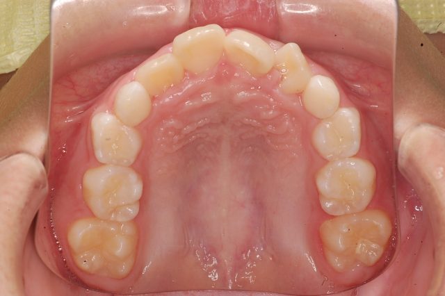
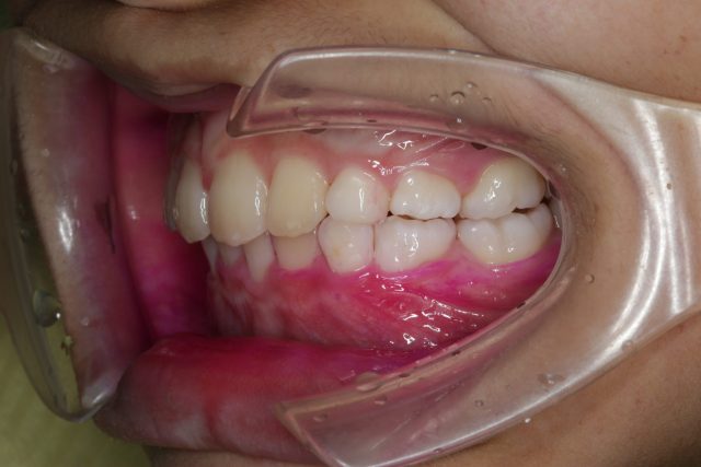
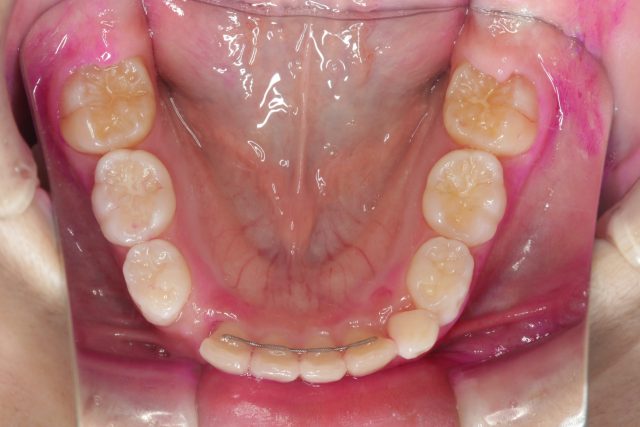
8歳男の子インビザラインファースト:永久歯スペース不足を解消

Before

After
| 年齢・性別・主訴 | 8歳男の子 永久歯が並ぶスペースが足りない |
|---|---|
| 治療期間・回数 | 6回 |
| 治療方法 | インビザラインファーストを使用し(1日20時間以上の着用) 、問題点の改善を行なった。 |
| 費用 | 990000円(2期治療費込) |
| デメリット・注意点 | 正しく着用、着用時間を守らないと予定通りに歯が動かない。歯根吸収、歯肉退縮、カリエスリスクが多少上がる。 |
他のBefore




他のAfter



