名古屋市天白区の歯科・歯医者なら、八事駅が最寄りの「高田兄弟歯科・矯正歯科」
052-832-1187
受付時間
9:30~13:00 /14:30~19:00
休診日
木曜・日曜・祝日
24時間
Web予約
メニューを開閉する
高田兄弟歯科・矯正歯科について
初めての方へ
医院案内・アクセス
スタッフ紹介
お知らせ
ブログ
診療案内
インプラント
インプラント周囲炎
小児歯科
小児矯正
矯正歯科・マウスピース矯正(インビザライン)
拡大視野診療
審美歯科
ダイレクトボンディング
ホワイトニング
歯周形成外科
根管治療
歯周病治療
予防歯科
虫歯治療(一般歯科)
親知らず
入れ歯
セカンドオピニオン
症例紹介
〒468-0063
愛知県名古屋市天白区音聞山1506
052-832-1187
24時間Web予約
診療時間
月
火
水
木
金
土
日・祝
9:30〜13:00
●
●
●
/
●
●
/
14:30〜19:00
●
●
●
/
●
●
/
[休診日] 木曜・日曜・祝日
電話
24時間Web予約
ページトップ
Menu
症例紹介
HOME
症例紹介
小児歯科・小児矯正
12歳女の子:外傷で欠けた前歯をダイレクトでボンディング修復
カテゴリー
インビザライン
インプラント
インプラント周囲炎
ホワイトニング
ワイヤー矯正
大きな虫歯
審美歯科
小さな虫歯(ダイレクトボンディング)
小児歯科・小児矯正
根管治療
歯周形成外科
歯周病
親知らず
2024.09.02
小児歯科・小児矯正
12歳女の子:外傷で欠けた前歯をダイレクトでボンディング修復
Before
After
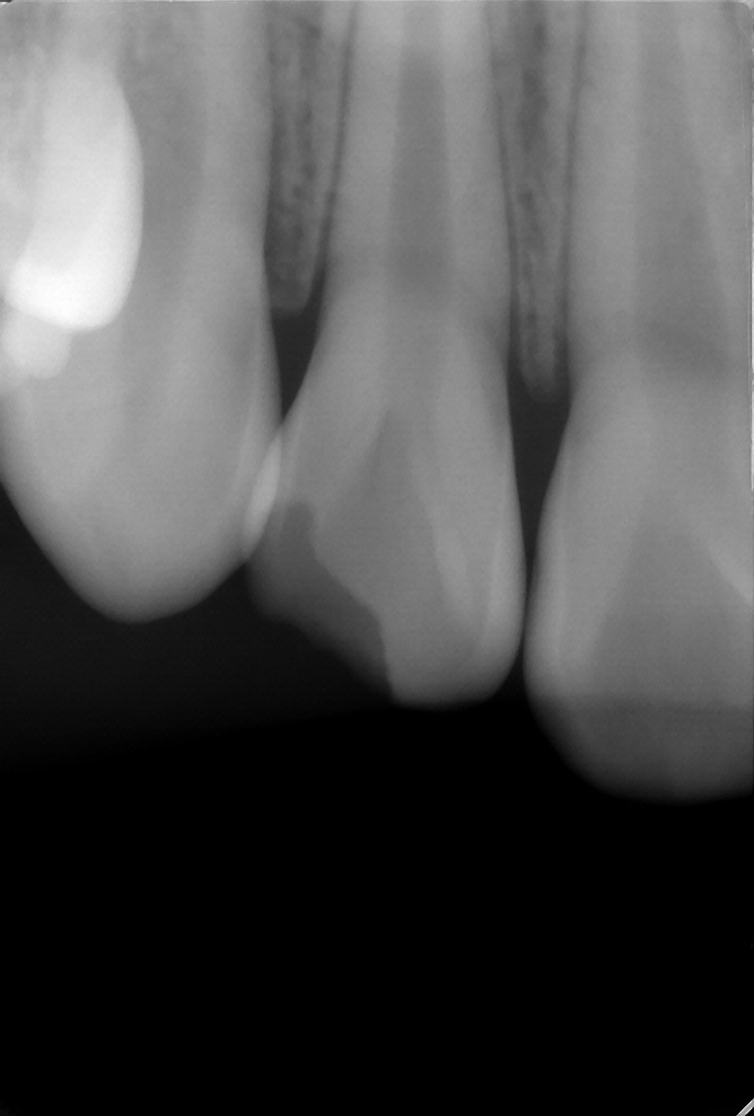
診断名
外傷による歯冠破折
年齢・性別
12歳・女の子 ぶつけて前歯欠けた
治療回数
1回
治療方法
デンタルエックス線にて歯根破折がないことを確認し、ダイレクトボンディングにより形態修復を行なった。
費用
55000円
デメリット・注意点
変色、破折
詳細の画像
ALL