名古屋市天白区の歯科・歯医者なら、八事駅が最寄りの「高田兄弟歯科・矯正歯科」
052-832-1187
受付時間
9:30~13:00 /14:30~19:00
休診日
木曜・日曜・祝日
24時間
Web予約
メニューを開閉する
高田兄弟歯科・矯正歯科について
初めての方へ
医院案内・アクセス
スタッフ紹介
お知らせ
ブログ
診療案内
インプラント
インプラント周囲炎
小児歯科
小児矯正
矯正歯科・マウスピース矯正(インビザライン)
拡大視野診療
審美歯科
ダイレクトボンディング
ホワイトニング
歯周形成外科
根管治療
歯周病治療
予防歯科
虫歯治療(一般歯科)
親知らず
入れ歯
セカンドオピニオン
症例紹介
〒468-0063
愛知県名古屋市天白区音聞山1506
052-832-1187
24時間Web予約
診療時間
月
火
水
木
金
土
日・祝
9:30〜13:00
●
●
●
/
●
●
/
14:30〜19:00
●
●
●
/
●
●
/
[休診日] 木曜・日曜・祝日
電話
24時間Web予約
ページトップ
Menu
症例紹介
HOME
症例紹介
ワイヤー矯正
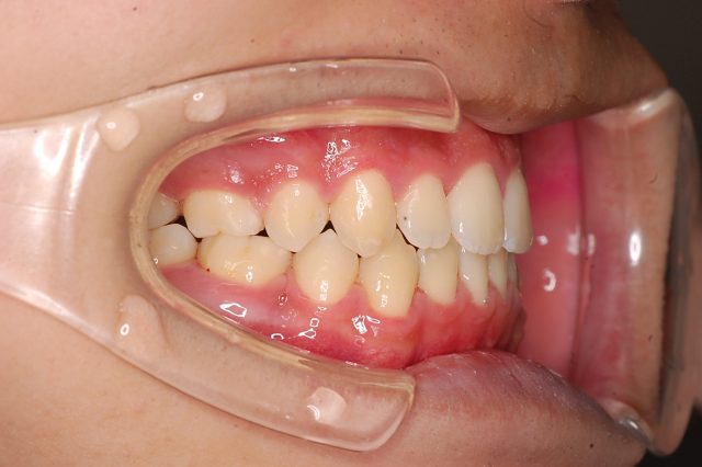
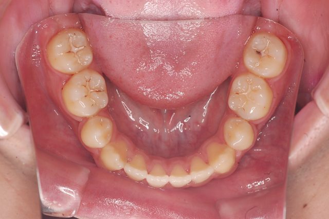
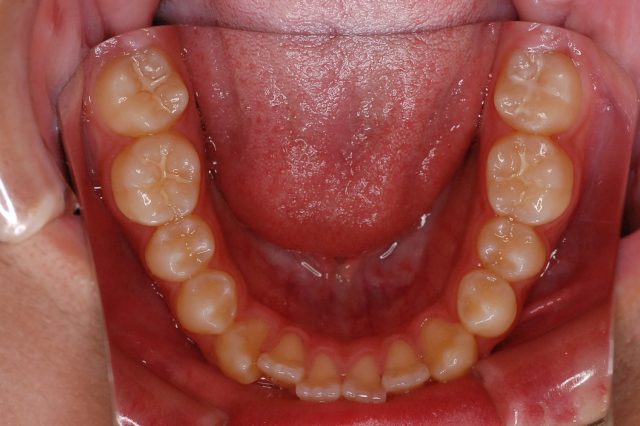
開咬の改善:前歯でしっかり噛める矯正治療
カテゴリー
インビザライン
インプラント
インプラント周囲炎
ホワイトニング
ワイヤー矯正
大きな虫歯
審美歯科
小さな虫歯(ダイレクトボンディング)
小児歯科・小児矯正
根管治療
歯周形成外科
歯周病
親知らず
2024.09.24
ワイヤー矯正
開咬の改善:前歯でしっかり噛める矯正治療
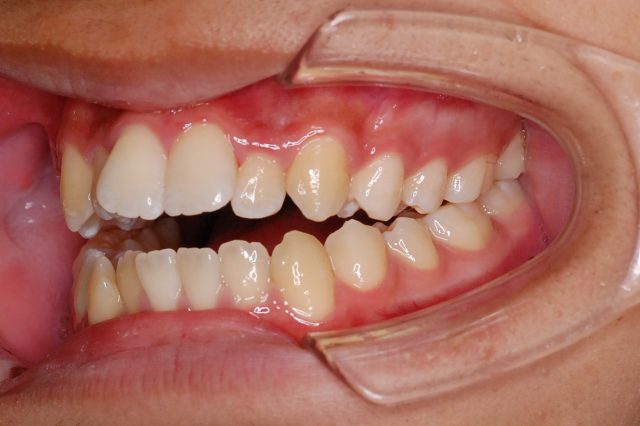
Before
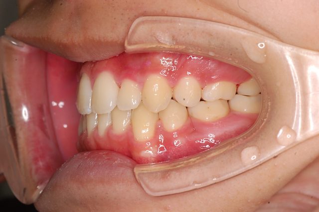
After
主訴
前歯で噛めない
治療期間・回数
2年6ヶ月・30回
治療方法
マルチブラケットにて上下左右4本抜歯
費用
850000+税
デメリット・注意点
歯根吸収 歯肉退縮
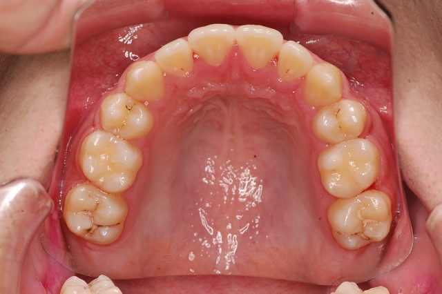
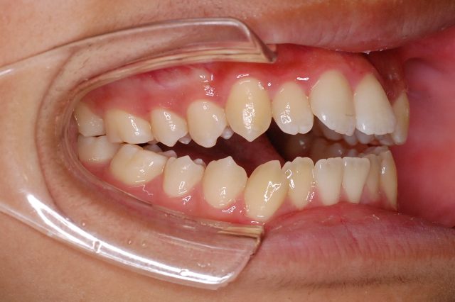
他のBefore
他のAfter
ALL